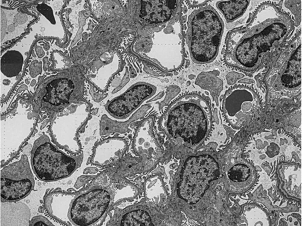
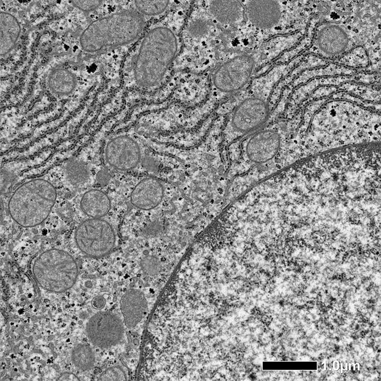
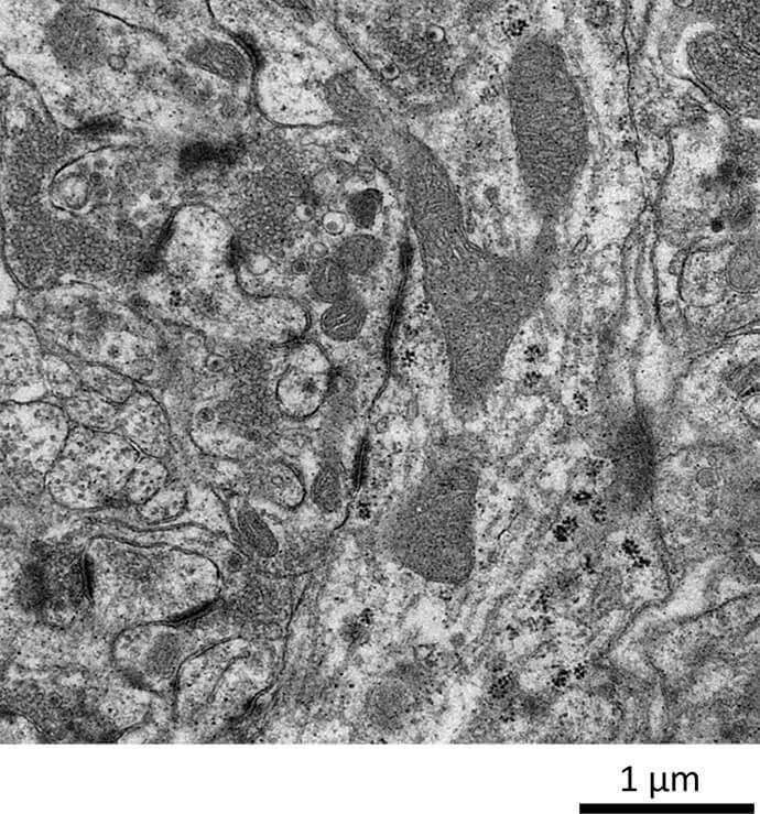
Mouse Mitochondria of Kidney SEI
Biology / Life science
Since it was processed with the Osmium impregnation method, membrane structures can be clearly observed.
| Application | SEI |
|---|---|
| Preprocessing | fracturing / biological specimen preparation |
| Magnification | x50,000 |
| Shooting conditions | Acceleration voltage 2.5kV, High vacuum mode |
| Related product | JSM-IT710HR Scanning Electron Microscope |
Related data
Are you a medical professional or personnel engaged in medical care?
No
Please be reminded that these pages are not intended to provide the general public with information about the products.
