Clinical / Pathological Tests
Both clinical tests and pathological tests play an important role in medicine.
A clinical test is used to understand the condition of the patient's body and make a "presumptive diagnosis"
in order to search for potential diseases.
A pathological test directly observes cells and tissues of the lesion area to make a "definite diagnosis" of
the disease.
JEOL supports the diagnostic field in medicine, from clinical to pathological tests, with our clinical
chemistry (biochemistry) analyzers and electron microscopes.
1. Clinical Test
The clinical chemistry (biochemistry) analyzer is an instrument that uses the pale-yellow liquid in blood
called serum and body fluids such as urine to measure various components such as sugar, cholesterol,
protein, and enzymes, etc. as samples. It determines the amount of a specific substance in the sample by
converting it to the color change when the reagent is added to the sample.
Currently, it is not only capable of general biochemical items, but also a wide range of other fields,
including immune serum, tumor markers, and some items in coagulation tests, which has a large weight in
sample testing.
JEOL provides "faster", "more precise", and "more efficient" operation through our clinical chemistry
analyzer BioMajesty™ and clinical laboratory information system CLALIS™ (Clinical Laboratory
Advanced LAN Information System).
Two checking methods by clinical chemistry (biochemistry) analyzer
Today, pre-examination tests and rapid tests are becoming more common in clinical laboratory data reporting,
owing to surcharge of rapid diagnostic procedure in medical fees.
Consequently, the necessity to perform more tests in the allotted time has risen. The system which
verifies/guarantees the reliability of measurement results is desired more than ever before.
The data reporting of clinical tests employs two main types of checks to enhance reliability.
One is an automatic check of the measured value by using a test system, etc. This is to check the degree of
deviation from the data distribution of measurement values accumulated from past measurements, such as
previous value checks and cross-checks between test items.
However, these evaluate measurement results, and do not guarantee the measurement itself.
Therefore, the other check method to check the measurement itself, the abnormal reaction check (checking the
reaction waveform) is important. JEOL's clinical chemistry analyzer has several abnormal reaction detection
functions (checking the reaction waveform). These waveform check functions have settings for each waveform
check point, enabling them to handle various abnormal waveforms.
Clinical Chemistry Analyze BioMajesty™
BioMajesty™ is a clinical chemistry analyzer of JEOL which has realized the micro volume of
reaction liquid of samples and reagents and ultra-high speed processing, thus contributing to clinical
testing. The proprietary method of diluting the collected samples made it possible to reduce sample
volume and reagent volume to micro. By this, the BioMajesty™ has been contributing to the
reduction of the patient's burden, and a reduction of running costs.
The BioMajesty™ has been installed in small and medium-sized hospitals and testing centers
(private companies specializing in patient's sample analysis), as well as large hospitals such as
university hospitals. Our contribution to medical fields is increasingly expected, including
developing test items of immunology, tumor markers, drugs, and makers for diseases and drug discovery
development through small animal experiments by taking advantage of the micro volume measurement
capability.
2. Pathological Test
Electron microscopes can provide a microstructure inside a cell and its lesion change that is not visible
with optical microscopes through direct observation of the microstructure of a cell and tissue.
Recently, thanks to the progress of immunohistochemistry and molecular biological tests, electron
microscopes are not the only inevitable tool as they were in the past. But they are still essential for
"definite diagnosis".
Use of electron microscope in kidney biopsy
A kidney biopsy is an important test in order to determine the diagnosis and treatment policy of kidney
diseases and a tissue of kidney is taken and examined using microscopes.
Kidney biopsies and electron microscopes are closely related. For a detailed diagnosis of kidney disease,
electron microscopes play an important role. In particular, for a micro structure abnormality and disease
that requires an evaluation of the deposit, it may be difficult to make a correct diagnosis without electron
microscopes.
The steps of a kidney biopsy is as follows.
1. A needle is inserted into the kidney, and a tissue sample is obtained.
2. The sample is divided and pre-treated, and observed by an optical/fluorescence/electron microscope.
3. The information is integrated to make a comprehensive diagnosis.
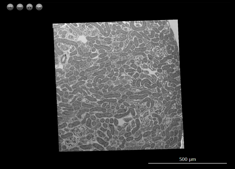
Ultrawide transmission electron microscopy image of a mouse kidney
The following data are ultrathin sections of a mouse kidney mounted on a SiN Window Chip imaged using the
Limitless Panorama (LLP) function, an automated montage system.
The images have been processed from wide-area images taken by LLP and can be viewed with a Web browser.
Clicking on the image will open a new tab for viewing the wide area image.
Sections mounted on a flat, grid-bar free SiN Window Chip allow us to view the entire area without any
wrinkles. To record this wide field of view in high resolution, automatic montage imaging (96 × 90 images)
was carried out using LLP at a pixel size of approximately 5.6 nm/pixel. The images thus obtained have
approximately 20 billion pixels, allowing us to observe the entire kidney cortex region (distribution of
glomeruli and the network of tubules) while maintaining a resolution that allows us to observe the basement
membrane structure of the glomerulus.
Sample : Mouse kidney
Imaging Device : JEM-1400 / Matataki Flash (2,048 x 2,048 pixels)
Image acquisition area : H 800 μm x W 760 μm with 8,640 (H 96 x W 90) images
Pixel size of the image : 5.6 nm/pixel
Total number of the pixels : 20 Gigapixel
Acceleration Voltage : 80 kV
JEM-120i Electron Microscope
Transmission Electron Microscopes (TEM) with 120 kV accelerating voltage are widely used in soft material fields such as biology and polymer. We have newly developed the JEM-120i with the concept of "Compact", "Easy To Use", and "Expandable". With the new external appearance, this instrument has evolved into a useful tool that anyone can use easily, from operation to maintenance.
SiN Window Chip
The high-strength SiN film enables us to observe a serially large area of a millimeter in size. It is also ideal for the observation of serially sliced sections because there is no invisible area that is caused by conventional TEM grids. The dedicated retainer makes it easy to perform Correlative Light and Electron Microscopy (CLEM).
Click the button below to view more Clinical / Pathological Tests applications.

